当院は、まぶた、眼窩、涙道に特化した眼形成手術の専門施設です。豊富な経験と専門的な知識をもとに、一人ひとりのお悩みに寄り添い、最適な治療をご提案いたします。
他院で修正することが難しいと判断された方でも、今まで来院されたほとんどの方が治療が可能ですので、まずは一度ご相談いただけたらと思います。
他院で行った手術でこれ以上治らないと
思われた患者さんであったとしても、
オキュロフェイシャルクリニックグループで何か改善できる場合があります。
目次
当院は、まぶた、眼窩、涙道に特化した眼形成手術の専門施設です。豊富な経験と専門的な知識をもとに、一人ひとりのお悩みに寄り添い、最適な治療をご提案いたします。
他院で修正することが難しいと判断された方でも、今まで来院されたほとんどの方が治療が可能ですので、まずは一度ご相談いただけたらと思います。
開院からある程度の時間が経過し徐々に皆さんに知って頂くことが出来てきました。
オキュロフェイシャルクリニックグループに来られる患者さんは、残念ながら他院で治療を受けたが治っていないか、 治療を断られた患者さんが多く来られます。
オキュロフェイシャルクリニックグループは眼形成という目の周りの眼瞼や眼窩を専門にしており、 そこだけに特化して年間12,000件以上(5院合計・2025年1月~12月)という数多くの手術を手掛けて参りました。 この数は国内でも世界でも比類ない数であると思います。
その経験を活かし、 他院で行った手術でこれ以上治らないと思われた患者さんであったとしても、 オキュロフェイシャルクリニックグループで何か改善できる場合があります。
美容外科手術後の修正についてA大学病院の美容外科で皮膚からの脂肪移動術(ハムラ法)したものの改善なく有名な美容外科で結膜から脂肪切除、さらに皮膚切開からの脂肪切除、再度結膜からの脂肪切除、と計4回美容外科での手術を施行された方です。
最後にB美容外科で行った手術では瘢痕のためほんのわずかな量の脂肪(小豆大と言われたそうです)しか切除できなかったとのことでした。 どうにか改善したいと悩まれて受診しました。

明らかに大きな脂肪の突出があり、下眼瞼も上眼瞼も膨らんでいました。
この症例の場合、表面の脂肪だけが問題なのではなく、その奥の脂肪も問題なのです。
このためバセドウの方の減圧に準じて眼窩深部の脂肪減圧手術を行いました。
今までに数回の手術を繰り返していますので入り口は瘢痕でガチガチでしたが、思った通りその後ろ(眼窩深部)の脂肪は操作されていませんでしたので比較的簡単に切除することが出来ました。
術前後の写真を提示いたします。




| 主訴 | 下眼瞼・上眼瞼ともに、膨らみが目立つ |
|---|---|
| 治療費 | 準備中 |
| 治療 内容 |
バセドウの方の減圧に準じて眼窩深部の脂肪減圧手術を実施 |
| 治療の リスク |
手術により創部が腫れ、内出血が起こります。翌日にはとても腫れます。腫れの消退は最初の2週間で8割程度改善し、完全な消退には約6ヵ月かかります。内出血(アザ)の完全な消退には4週間程度かかります。 |
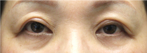
手術後眼瞼の形がおかしくなったため、再度C病院形成外科で修正の手術(皮膚切除)をしたが、やはり眼瞼の形が変だとのことで修正希望にて来院。
察すると前医の手術で重瞼がきっちり作成されているのですが、高すぎる位置に重瞼が作成されています。よく美容外科や形成外科で眼瞼下垂の手術を受けた術後で同様の状態になっている方を見かけます。
重瞼の位置は高ければよい、というものでは無いのです。重瞼は適切な位置でないと、その下の皮膚がたるんでしまってこのような状態になります。
黒目の大きさは大きくなったのですが、相対的に皮膚弛緩が強くなってしまっており、さらに重瞼の位置が不自然。オキュロフェイシャルクリニックグループでの手術は不適切な位置の重瞼を含めて追加で皮膚切除、適切な位置に重瞼を作成しました。
術前は見開いたような目つきでしたが、術後には改善しているのが分かると思います。


| 術前 | 二重瞼にはなっているものの位置が上過ぎて結局その下の皮膚がたるんでいるため、しっかり開瞼出来ない状態 |
|---|---|
| 術後 | 重瞼の位置を睫毛上5ミリまで下げ追加で皮膚切除、二重瞼を作成した術前の不自然な皮膚弛緩は改善 |


| 術前 | 二重瞼の下の皮膚がたるんでいるためしっかり開瞼出来ない。そのせいで、見開いたような目つきになっている |
|---|---|
| 術後 | 当初より下方に二重瞼を作成し追加皮膚切除。術前の不自然な皮膚弛緩は消失し見開いたような目つきも改善 |
| 主訴 | 二重瞼の下の皮膚がたるみ、しっかり開瞼できないため見開いたような目つきになっている |
|---|---|
| 治療費 | 準備中 |
| 治療内容 | 不適切な位置の重瞼を含めて追加で皮膚切除、適切な位置に重瞼を作成 |
| 治療のリスク | 手術により創部が腫れ、内出血が起こります。翌日にはとても腫れます。腫れの消退は最初の2週間で8割程度改善し、完全な消退には約6ヵ月かかります。内出血(アザ)の完全な消退には4週間程度かかります。 |
1年前に大手D美容外科で埋没法の手術を受けたが、術後に眼瞼の形状が不自然になってしまったので修正希望で来院。この方も症例2と同様に重瞼の位置が高すぎるので重瞼よりも下の皮膚がたるんでしまっています。
もう一つ、問題があります。それは内眼角贅皮という目頭の皮膚が張り出していることです。これは蒙古ひだともいわれるものでアジア人とくに東アジア人に多くみられるものです。
蒙古ひだが張ってしまっているので、いくら上眼瞼を綺麗に仕上げても、下に引っ張られてしまう以上、綺麗な重瞼線にはなりません。
このためこの方には内眥形成術(目頭切開)と上眼瞼の皮膚切除、重瞼作成を行いました。術後、平行型の綺麗な重瞼線が出来て表情も自然になりました。


| 術前 | 二重瞼の位置が上過ぎて結局その下の皮膚がたるんでいる蒙古ひだが張っているタイプなのでここを修正しないと自然な二重瞼にならない |
|---|---|
| 術後 | 皮膚を切除し低い位置で重瞼を作り直し、内眥形成(目頭切開)も行うことで平行型の重瞼が出来た |


| 術前 | 二重瞼が高すぎるのでそれより下の皮膚が余っている蒙古ひだがあるので、目の大きさが縦横1:1になって不自然 |
|---|---|
| 術後 | 内眥形成と重瞼の作り直しをしたところ、目の大きさの比は縦横1:2くらいの自然な大きさになった |
| 主訴 | 埋没法の手術の修正 |
|---|---|
| 治療費 | 準備中 |
| 治療内容 | 内眥形成術(目頭切開)と上眼瞼の皮膚切除、重瞼作成 |
| 治療のリスク | 手術により創部が腫れ、内出血が起こります。翌日にはとても腫れます。腫れの消退は最初の2週間で8割程度改善し、完全な消退には約6ヵ月かかります。内出血(アザ)の完全な消退には4週間程度かかります。 |
E大学病院形成外科で眼瞼下垂の手術を行ったところ、上眼瞼の凹みが気になった。
東京のF美容外科で鼡径部の脂肪を上眼瞼に移植する手術を2回受けたところ、今度はまぶたが膨らんでしまったため、切除希望で来院。前回移植された脂肪が前方に突出し不自然な目つきになっていました。
少量の皮膚と移植された脂肪の切除を行ったところ、綺麗で自然なまぶたになっています。


| 術前 | 前回移植された脂肪の量が多すぎたため、上眼瞼が膨らんで不自然な顔貌となっている。 |
|---|---|
| 術後 | 皮膚と移植された脂肪の切除、その後二重瞼を作成した。 やや陥凹が目立つが自然な仕上がりになった。 |


| 術前 | 移植された脂肪の量が多すぎたため、上眼瞼(特に内側)が膨らんで不自然な顔貌となっている。 |
|---|---|
| 術後 | 皮膚と移植された脂肪の切除、その後二重瞼を作成した。 やや陥凹が目立つが自然な仕上がりになった。 |
| 主訴 | 上眼瞼の凹みが気になる |
|---|---|
| 治療費 | 準備中 |
| 治療内容 | 少量の皮膚と移植された脂肪の切除を実施 |
| 治療のリスク | 手術により創部が腫れ、内出血が起こります。翌日にはとても腫れます。腫れの消退は最初の2週間で8割程度改善し、完全な消退には約6ヵ月かかります。内出血(アザ)の完全な消退には4週間程度かかります。 |
左顔面神経麻痺があるため左眉毛下垂による左視野障害をきたしていたため、前医G眼科にて左睫毛上皮膚切除を受けたがこれ以上の改善は困難とのことで紹介されました。
左眉毛下垂があり眉毛挙上術が望ましい状態でしたが、左上眼瞼皮膚がすでに切除されていたため眉毛挙上を単独で行うことが出来ず、右上眼瞼からの皮膚移植を同時に行っています。
順次、左下眼瞼外反の手術、右のほうれい線へのヒアルロン酸注射も行うことで顔貌の改善を得ることが出来ました。
| 術前 | 左眉毛下垂・左下眼瞼外反となっている。 まぶたを閉じることが出来ないため、角膜が混濁してしまっている。 |
|---|---|
| 術後 | 左眉毛下垂・左下眼瞼外反があり、まぶたの裏が露出してしまっている |

こちらは初めてオキュロフェイシャルクリニックグループへお越しいただいた時の治療前の写真です。
前医で左上まぶたの皮膚切除を受けたため、上まぶたの量が左右で大きく異なる。


術後、かなり見た目が改善されました。
左眉毛を上げる手術、右上まぶたから左上まぶたへの皮膚移植、左下まぶたの外反手術を行いました。
また、ほうれい線へのヒアルロン酸注射もしています。
| 主訴 | 左眉毛下垂・左下眼瞼外反となっている。 まぶたを閉じることが出来ないため、角膜が混濁してしまっている。 |
|---|---|
| 治療費 | 準備中 |
| 治療内容 | 左睫毛上皮膚切除の修正 |
| 治療のリスク | 手術により創部が腫れ、内出血が起こります。翌日にはとても腫れます。腫れの消退は最初の2週間で8割程度改善し、完全な消退には約6ヵ月かかります。内出血(アザ)の完全な消退には4週間程度かかります。 |

他院で眼瞼下垂手術を受けられた方で、よくお聞きするのは、「不自然な仕上がりになり、重瞼の形状がおかしくなった」です。
オキュロフェイシャルクリニックグループでは、他院で修正することが難しいと判断された方でも、今まで来院されたほとんどの方が治療が可能ですので、まずは一度ご相談いただけたらと思います。
眼瞼下垂手術後の修正手術この説明書は、他院下垂術後の修正手術について説明したものです。
わからないことがありましたら、担当医にお尋ねください。
治療を受けられる場合は、下記に「同意書PDF」を用意しておりますので、
一度目を通していただき署名をお願いいたします。
当院は、まぶた、眼窩、涙道に特化した眼形成手術の専門施設です。豊富な経験と専門的な知識をもとに、一人ひとりのお悩みに寄り添い、最適な治療をご提案いたします。
他院で修正することが難しいと判断された方でも、今まで来院されたほとんどの方が治療が可能ですので、まずは一度ご相談いただけたらと思います。
オキュロフェイシャルクリニックグループは、
東京、大阪、京都、千葉、新前橋の5つのクリニックを日本全国に展開する、眼形成外科の専門クリニックです。
私たちは、年間1万件以上の眼形成手術実績を持ち、日本全国No.1の治療実績を誇ります。
各クリニックでは、眼形成外科医が手術を担当し、
他の美容外科では得られない高度な技術と専門性を提供しています。
眼瞼下垂、目の下のたるみやクマ取り、ハムラ法、なみだ目治療、バセドウ病眼症、眼球突出、他院修正手術など、眼と目元に関するあらゆる悩みに対応します。
私たちの眼形成外科医は、自然で美しい仕上がりをお約束し、患者様の満足を第一に考えています。
オキュロフェイシャルクリニックグループでは、
最新の技術と豊富な経験を持つ専門医が皆様をお迎えし、安心して治療を受けていただける環境を整えています。
各クリニックは、それぞれの地域で皆様に質の高い医療を提供することを目指し、日々努力しています。
どうぞ、お近くのクリニックにご相談ください。
バセドウ病・甲状腺眼症は、治ったら元通りではなく、以前とは全く異なる見た目・容姿になってしまうことです。
眼瞼下垂の原因は大きく2種類あり、「皮膚のたるみによる眼瞼下垂」と「筋肉の弱りによる眼瞼下垂」です。
他院で行った手術でこれ以上治らないと思われた患者さんでも、当院で何か改善できる場合があります。
当院は皮膚を切らずに、白目(結膜)からアプローチする眼窩骨折手術を行います。これによりキズが残りません。
まつ毛の向きが眼球の方を向いているため、眼球と接触してキズを作りさまざまな症状をきたします。
なみだ目(流涙症)は、分泌された涙の排出経路(涙道)の機能不全によって起こりやすいです。
目の下にクマ・ふくらみができている、下まぶたにたるみ・シワが生じた、などを解決いたします。
突然訪れた事故で負ってしまった怪我をキレイに修復する修正することが可能です。
オキュロフェイシャルクリニックでは、皮膚の表面を切らずに、埋没法を用いて二重を作ることが可能です。
顔面神経麻痺は、様々な原因でなりますが、顔面が非対称になってしまうため、顔貌が大きく変わってしまいます。
目の奥の脂肪や骨を切除する眼窩減圧術を用いることで、生まれつきの眼球突出を治療できます。
他院で眼瞼下垂手術を行い、「失敗した・やり直したい」を当院で実現できるかもしれません。
オキュロフェイシャルクリニックでは眼形成手術のほか、
しわ・たるみなどの肌の悩みを改善する
美容皮膚科と幅広く施術いたします。
〒104-0061
東京都中央区銀座1-15-4 銀座1丁目ビル8階
〒371-0844
群馬県前橋市古市町180-1 フォレストモール新前橋
〒530-0001
大阪府大阪市北区梅田1丁目12-6 EーMA3階
〒260-0015
千葉県千葉市中央区富士見1丁目1−13 JS Bldg 6階
オキュロフェイシャルクリニック京都(眼形成外科)
〒600-8031
京都府京都市下京区貞安前之町589 TM四条寺町ビル4階
| 診療時間 | 月 | 火 | 水 | 木 | 金 | 土 | 日 |
|---|---|---|---|---|---|---|---|
| 8:15〜17:15 | - | ◯ | ◯ | ◯ | ◯ | ◯ | - |
[休診日]月曜・日曜・祝日
※当院の診療は完全予約制になります。