当院は、まぶた、眼窩、涙道に特化した眼形成手術の専門施設です。豊富な経験と専門的な知識をもとに、一人ひとりのお悩みに寄り添い、最適な治療をご提案いたします。
他院で修正することが難しいと判断された方でも、今まで来院されたほとんどの方が治療が可能ですので、まずは一度ご相談いただけたらと思います。
当院は皮膚を切らずに、
白目(結膜)からアプローチする
眼窩骨折手術を行います。
高い技術力が求められますが、
短時間かつ術後のダメージを軽減できます。
当院は、まぶた、眼窩、涙道に特化した眼形成手術の専門施設です。豊富な経験と専門的な知識をもとに、一人ひとりのお悩みに寄り添い、最適な治療をご提案いたします。
他院で修正することが難しいと判断された方でも、今まで来院されたほとんどの方が治療が可能ですので、まずは一度ご相談いただけたらと思います。
眼窩(がんか)とは、眼球が入ってるスペースのことです。
この眼窩の奥にある眼窩壁の内側~底は薄い骨でできているため、目に強い衝撃を受けると骨折してしまうことがあります。
これを眼窩(がんか)ブローアウト骨折といいます。当院は皮膚を切らずに、白目(結膜)からアプローチする眼窩骨折手術を行います。
高い技術力が求められますが、白目(結膜)からアプローチすることで、短時間かつ術後のダメージを軽減できます。

これらの原因は目に衝撃を受けたために、眼の周囲の奥の方の骨が折れて、眼の奥の筋肉や脂肪などの組織が移動してしまうことです。これは押し入れに綺麗に布団が入っている状態に例えると、眼窩骨折では襖が倒れ布団が外に飛び出している状態と言えます。
その時に筋肉が引っ張られればダブって見える症状になり、脂肪などの目の後ろの組織が脱出すれば目が凹んで、小さくなってしまいます。これが眼窩骨折の主たる症状です。
また亀裂骨折が起き、その部位に組織が挟まれると閉鎖型骨折という状態になり、血のめぐりが悪くなって組織が壊死を起こしてしまうため早期の手術が必要になります。
1.正常時

2.綺麗に整頓されている

3.布団が外へ飛び出す

4.眼窩骨折の状態

5.眼窩骨折の治療
治療は骨折部に移動した脂肪や筋肉などの組織を元の位置に戻すことです。
ただし、脂肪や筋肉を生来の位置に戻すだけではまたそのスペースに戻ってしまいます。
だから折れてしまった骨を一旦取り出して生来の位置に戻すか、人工の骨をその代わりに使用して生来の位置に戻します。
押し入れで例えるなら、まず飛び出てしまった布団を押し入れに入れ直し、そのあとで襖を元の位置に戻します。
閉鎖型骨折の場合には、症状が重篤であることも多く、後遺症が残る可能性も高いことから翌日くらいまでには手術することが必要です。
可能な限り24時間以内に手術することが勧められています。
前に述べた通り治療は移動した組織を元の位置に戻すこと、そしてまた移動してしまわないように骨を再建することです。
ただし組織を元に戻しても、骨を元の位置に再建できなかった場合にはまた組織が移動してしまいます。
押し入れで例えるなら、布団を元に戻すことが出来たとしても襖がきっちりした位置に直せないと、また布団が出てきてしまうのです。
他院での手術をしたのにも関わらず治り方が不十分な場合には、この骨の再建が上手くいかなかった可能性があります。
押し入れの例えで言えば、本来の襖の位置に襖を再建しなければいけませんが、倒れた襖の上にもう一枚新たに襖を置いて終了にしてしまうような例が散見されます。
この場合、襖が綺麗に治っていませんから、再度布団が出てきてしまうということが起きるのです。
オキュロフェイシャルクリニックグループの眼窩骨折の手術は、白目(結膜)からアプローチしますので、皮膚に傷あとを残しません。
これは米国留学から学んだ専門的な手術方法です。皮膚を切らないことで、傷あとを残さないだけでなく手術時間は短く、身体の負担を少なくすることが可能です。
眼を含む骨に囲まれたスペースを眼窩といい眼窩のまわりの骨を眼窩骨といいます。下は上顎洞、内側は篩骨洞というスカスカの空間になっているのです。
内壁はほぼ平面状に存在している。内壁の奥のスペースは篩骨洞がある。
眼窩下壁中央に大きな亀裂(下眼窩裂)が見える。下壁の奥のスペースには上顎洞がある。
眼を強打すると衝撃を吸収する過程でこれらの骨が折れるようになっています。
それと同時に眼窩の組織(脂肪や筋肉)がそれらのスペースに飛び出すので、これが眼窩骨折と言われる状態です。
折れる場所によって、眼窩下壁骨折、眼窩内壁骨折、はたまた眼窩内下壁骨折と言われています。
眼窩骨の外側は骨が分厚くて硬くなっています。また上は脳みそになっていて硬膜という硬い組織で裏打ちされています。このため眼窩外壁や上壁の骨折はなかなか起こりません。
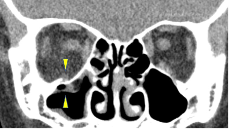
眼窩内壁が偏位し、篩骨洞内に突出している。内直筋が内側に偏位し、腫大しているように見える。(矢頭)
眼窩下神経管周囲がヒンジとなっている。(矢頭)
折れた骨は上顎洞内に偏位している。
眼窩内壁の骨折があり、篩骨洞がつぶれている。(矢頭)
眼窩脂肪が偏位・嵌頓し、それに伴って視神経の弯曲も見られる。
眼窩骨折が起こって眼窩組織がスペースに飛び出すと、必然的に眼窩全体がそちらに引っ張られて、目が凹んだり、筋肉が引っ張られることでダブって見えたりするような症状が出ます。


放型骨折があり、下壁が上顎洞内に落ち込んでいる。(矢頭大)
下直筋が偏位し眼窩内から脱出している。(矢頭小)
それより後方のスライスでは下直筋が骨折縁に引っかかっているのが見える。(矢頭)
このような場合には重度の上転障害を訴える。

この症例は他院で手術を受けたがOrbital strutが再建されなかったため、術後にも関わらず眼球陥凹を来している。
治療はもちろんケガの前の状態にするのが一番良いので、飛び出てしまった眼窩組織を元の位置に戻して眼窩骨を再建する、ということになります。
オキュロフェイシャルクリニックグループでは眼窩組織側から引き上げて骨折を治しています。
それは上から引き上げたほうがしっかりより正確に戻すことが出来るからです。
引き上げる手術を行うとして、眼窩組織へのアプローチには二つあります。
皮膚の切開でのアプローチと、白目(結膜)からアプローチです。
オキュロフェイシャルクリニックグループではすべての眼窩骨折の手術を白目(結膜)から行っています。
白目(結膜)は非常に薄い膜で、傷が綺麗に治りやすいことと、
そもそもまぶたの裏にあるため切開創は表面に出ないのです。
スペースに飛び出た眼窩脂肪や筋肉に辿り着いたら、それらを引き上げます。
しっかりと脂肪や筋肉といった眼窩組織と、骨や粘膜の間をはがし、眼窩組織だけを元の位置に戻します。
最後のステップとして、眼窩組織はそのままにしておくと元のスペースに落ちてしまいますから骨の壁を再建して終了します。
白目(結膜)からアプローチの場合には、無縫合か、もしくは1-2針程度、吸収糸で縫合しますので抜糸は必要ありません。
これらとは別に、緊急の手術を要する場合があります。
閉鎖型骨折と言われる状態であり、眼窩骨が亀裂状に折れて、さらにそこに筋肉や脂肪が挟まると、血液が届かなくなって組織が死んでしまうのです。ゴールデンタイムは24時間と言われていますので準緊急での手術が必要です。

眼窩下壁の破綻とともに、眼窩内から下直筋が消失し、「missing rectus」と言われる状態です。
閉鎖型骨折で外眼筋が巻き込まれた場合には準緊急手術の適応となります。
時間が経過すると筋肉が壊死をきたし、複視が生涯にわたって残ることになる。


自動車のハンドルに右目をぶつけ、眼窩骨折と眼瞼下垂を発症しました。
その後A総合病院の眼科と形成外科でケガが安定化し改善するのを待っていました。受傷後1年以上経過し、眼球陥凹と眼瞼下垂がこれ以上改善しないため、オキュロフェイシャルクリニックグループにご紹介頂きました。
右眼の眼球陥凹は重度で、上眼瞼の影の形状が左右で大きく異なることが分かります。この方は内壁と下壁の骨折であり、その接合部(Orbital strutという)が折れていました。接合部が折れるのは、眼球運動障害よりも、眼球陥凹が強く出るタイプ。
この方も非常に強い眼球陥凹が残っていました。 またケガによる眼瞼下垂がありますが、こちらも手術が必要になるため 手術は二回に分けて行う必要がありました。
一回目の手術は、眼窩内下壁骨折の手術で、日帰り全身麻酔で行いました。 二回目の手術は、右上眼瞼の眼瞼下垂手術で、局所麻酔で行っています。
手術を行って眼球陥凹が改善し、左右差が目立たなくなっているのが分かると思います。 とくに上眼瞼の影の形が変わっていることに注目してください。
また、眼瞼下垂手術によって二重の幅が小さくなっているために 左とのバランスが取れてきているのが分かります。
| 主訴 | 眼窩骨折と眼瞼下垂を発症 |
|---|---|
| 治療費 | 準備中 |
| 治療内容 | 眼窩骨折整復術 |
| 治療のリスク | 術後に再度縫合処置をすることがあります。 |
自宅マンション5階から転落、顔面多発骨折にてB大学病院形成外科で整復手術。半年後に眼窩骨折整復術と下眼瞼の陥凹に対して脂肪移植を施行しています。
左眼球陥凹が治らず浜松のC病院、群馬県のD病院を受診するが手術を断られ、最終的にD病院からオキュロフェイシャルクリニックグループへ紹介受診となりました。




B大学病院で2回手術をされていますが、左眼の重度の眼球陥凹が残存しており、左右非対称の顔貌となってしまっています。また下眼瞼へなぜか脂肪移植されているためこれも左右差を助長する原因となっています。
CTでは再建手術を2回されているものの、骨壁を治すことが出来ていないため、眼窩の断面積が縮小していません。これが眼球陥凹の大きな原因でした。
手術は白目(結膜)の切開から行ったため、皮膚に傷は残っていません。人工骨で足場を作り、その上にプレートが乗せました。
術後のCTを見ると眼窩の断面積が正常である右に近づいているのが分かります。


| 主訴 | 左眼球陥凹が治らず |
|---|---|
| 治療費 | 準備中 |
| 治療内容 | 眼窩骨折整復術 |
| 治療のリスク | 術後に再度縫合処置をすることがあります。 |
E大学病院形成外科で手術を行ったものの右の重度の眼球陥凹が残存しました。これ以上の治療は出来ず、F大学病院へ転院となり、F大学病院から紹介受診となりました。
当初、ヒアルロン酸注射などの手術以外の手段での治療希望だったのですが、眼窩骨が偏位していることが原因であること、それを治すには手術が望ましいことをお伝えしたところ手術希望となりました。


白目(結膜)切開から眼窩内に進入し症例2と同様、眼窩内壁と下壁を再建しています。
術前には、重度の右上眼瞼陥凹があるが、術後には改善しています。
眼球の位置を眉毛と比較すると、右眼球陥凹がよくわかると思います。


CTを見ると、眼窩にチタンメッシュプレートが挿入されているが骨に沿って挿入されているだけなので、眼窩組織を持ち上げるような効果は無いことが分かります。
ハイドロキシアパタイトの人工骨を重ねて橋げたのようにして、その上にプレートを置くことで眼窩の形状を小さくすることが出来ました。
| 主訴 | 重度の眼球陥凹 |
|---|---|
| 治療費 | 準備中 |
| 治療内容 | 眼窩骨折整復術 |
| 治療のリスク | 術後に再度縫合処置をすることがあります。 |
この説明書は、眼窩骨折の手術について説明したものです。
わからないことがありましたら、担当医にお尋ねください。
治療を受けられる場合は、下記に「同意書PDF」を用意しておりますので、
一度目を通していただき署名をお願いいたします。
当院は、まぶた、眼窩、涙道に特化した眼形成手術の専門施設です。豊富な経験と専門的な知識をもとに、一人ひとりのお悩みに寄り添い、最適な治療をご提案いたします。
他院で修正することが難しいと判断された方でも、今まで来院されたほとんどの方が治療が可能ですので、まずは一度ご相談いただけたらと思います。
オキュロフェイシャルクリニックグループは、
東京、大阪、京都、千葉、新前橋の5つのクリニックを日本全国に展開する、眼形成外科の専門クリニックです。
私たちは、年間1万件以上の眼形成手術実績を持ち、日本全国No.1の治療実績を誇ります。
各クリニックでは、眼形成外科医が手術を担当し、
他の美容外科では得られない高度な技術と専門性を提供しています。
眼瞼下垂、目の下のたるみやクマ取り、ハムラ法、なみだ目治療、バセドウ病眼症、眼球突出、他院修正手術など、眼と目元に関するあらゆる悩みに対応します。
私たちの眼形成外科医は、自然で美しい仕上がりをお約束し、患者様の満足を第一に考えています。
オキュロフェイシャルクリニックグループでは、
最新の技術と豊富な経験を持つ専門医が皆様をお迎えし、安心して治療を受けていただける環境を整えています。
各クリニックは、それぞれの地域で皆様に質の高い医療を提供することを目指し、日々努力しています。
どうぞ、お近くのクリニックにご相談ください。
バセドウ病・甲状腺眼症は、治ったら元通りではなく、以前とは全く異なる見た目・容姿になってしまうことです。
眼瞼下垂の原因は大きく2種類あり、「皮膚のたるみによる眼瞼下垂」と「筋肉の弱りによる眼瞼下垂」です。
他院で行った手術でこれ以上治らないと思われた患者さんでも、当院で何か改善できる場合があります。
当院は皮膚を切らずに、白目(結膜)からアプローチする眼窩骨折手術を行います。これによりキズが残りません。
まつ毛の向きが眼球の方を向いているため、眼球と接触してキズを作りさまざまな症状をきたします。
なみだ目(流涙症)は、分泌された涙の排出経路(涙道)の機能不全によって起こりやすいです。
目の下にクマ・ふくらみができている、下まぶたにたるみ・シワが生じた、などを解決いたします。
突然訪れた事故で負ってしまった怪我をキレイに修復する修正することが可能です。
オキュロフェイシャルクリニックでは、皮膚の表面を切らずに、埋没法を用いて二重を作ることが可能です。
顔面神経麻痺は、様々な原因でなりますが、顔面が非対称になってしまうため、顔貌が大きく変わってしまいます。
目の奥の脂肪や骨を切除する眼窩減圧術を用いることで、生まれつきの眼球突出を治療できます。
他院で眼瞼下垂手術を行い、「失敗した・やり直したい」を当院で実現できるかもしれません。
オキュロフェイシャルクリニックでは眼形成手術のほか、
しわ・たるみなどの肌の悩みを改善する
美容皮膚科と幅広く施術いたします。
〒104-0061
東京都中央区銀座1-15-4 銀座1丁目ビル8階
〒371-0844
群馬県前橋市古市町180-1 フォレストモール新前橋
〒530-0001
大阪府大阪市北区梅田1丁目12-6 EーMA3階
〒260-0015
千葉県千葉市中央区富士見1丁目1−13 JS Bldg 6階
オキュロフェイシャルクリニック京都(眼形成外科)
〒600-8031
京都府京都市下京区貞安前之町589 TM四条寺町ビル4階
| 診療時間 | 月 | 火 | 水 | 木 | 金 | 土 | 日 |
|---|---|---|---|---|---|---|---|
| 8:15〜17:15 | - | ◯ | ◯ | ◯ | ◯ | ◯ | - |
[休診日]月曜・日曜・祝日
※当院の診療は完全予約制になります。